Què és la Pell?

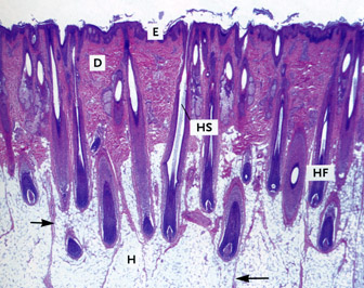
La pell o cutis recobreix tota la superfície del cos i està constituïda per tres capes sobreposades que són:

  • L'epidermis que és un epiteli de cobertura.

  • La dermis, element de teixit conjuntiu que es troba molt vascularitzat i que està ple d'estructures annexes cutànies i de terminacions nervioses

Dibuix de la pell (moveu per damunt el ratoli) Tinció hematoxilina eosina de la pell

Per davall de la dermis hi ha la hipodermis que no forma part de la pell, i serveix de suport i d'element d'unió als òrgans subjacents.

Les principals estructures annexes cutànies són les següents: El pèl, les ungles, les glàndules sebàcies i les glàndules sudorípares .

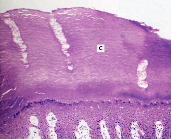
Tota la pell del cos és igual?

La pell del nostre cos no és uniforme i varia tant anatòmicament com fisiològicament, depenent de la regió de l'organisme on es troba. Per exemple, la pell dels palmells de les mans és ben diferent de la pell del dors de les mans, o la pell de les parpelles es completament diferent de la pell de l'escrot, posant-se de manifest un procés d'adaptació de l'organisme al medi.

La pell també difereix en les diverses etapes de la vida (no és el mateix la pell d'un lactant que la pell d'una persona vella) i segons el sexe (la pell masculina és més greixosa i més gruixuda que la pell femenina).

Pell de la llengua Pell de la palma de la mà
Pell de la planta del peu Pell de la cara

 

La superfície de la pell presenta solcs i crestes que als dits donen lloc a un patró individualitzat, que s'utilitza per identificar persones i que s'anomena dermatoglif.